Kierunki działalności
Współczesny metodyky leczenia
Wykorzystanie systemu Charfix przy niedoskonałej osteogenezie
Wykorzystanie systemu Charfix przy fibroznej dyspalazji
Wykorzystanie systemu Charfix przy fosfat cukrzycy
Kontakty
Wykorzystanie systemu Charfix
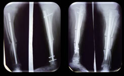
Do operacji
Po 5 miesiącach od początku operatywnego
leczenia
wideo - do operacji
Dzięki mocnej metalokonstrukcji jest możliwość szybszego
obciążenia na kończyny
Telefon Kontaktowy:
+38 (044) 383-28-30
+38 (067) 968-19-10
сайт создан компанией